极悦娱乐

时间:2020-09-24
75Cr1冷轧钢带的球化率95%指什么???

75Cr1是德国DIN 17350-1980标准中的一个工具钢牌号,,后经海内钢厂的开发,,现在75Cr1冷轧钢带是海内合金工具钢行业的代表性牌号之一,,主要应用于圆锯片与锯条行业,,用来制造圆盘锯片、框架锯条、手工锯条、木匠锯条及食物锯条等。。。。 相较于GB中的一些碳素钢,,75Cr1是通过增添Cr的含量,,来提高质料的调质性能。。。。

许多用户在采购的时间,,都会对球化率做一个要求。。。。着实关于球化率来说,,他是通过75Cr1冷轧钢带中的碳化物的球化来实现的,,球化率提高的主要目的是降低钢的硬度同时增添钢的塑性。。。。在现实使用历程,,许多用户若是若是不需要较好的钢的塑性,,那就完全没有须要对球化率的一个追求了,,由于球化率的提高,,都是通过多次球化退火,,和逐步提高退火间的压下量,,进而来增添球化率。。。。那么这历程中,,本钱的增添就一定的。。。。

极悦娱乐(中国)有限公司官网

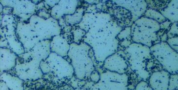
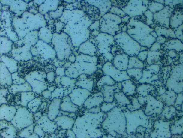
球化组织的金相图

那么75Cr1球化率是怎样盘算的呢???许多是通过PD-S8球化率仪,,或者一些金相软件来盘算。。。。在GB-T 38770-2020低、中碳钢球化组织磨练及评级,,关于球状碳化物的形貌,,是指长、宽之比小于5的碳化物颗粒。。。。而珠光体球化率的形貌是钢铁质料基体组织中,,转化为球状碳化物的总面积与基体中碳化物总面积的百分比,,着实球化率是相对应片状珠光体来说,,就是球状珠光体和片状珠光体的相对含量。。。。同时在GB-T 38770-2020中,,也给出了盘算公式,,相较于公式,,软件盘算照旧来的更便捷。。。。

对球化率有要求的,,大部分都要求75Cr1球化率抵达95%以上,,那95%这个数值又有什么特征呢 ???同样在GB-T 38770-2020中,,有球化组织的分级,,如下表,,球化率95%以上,,就抵达了6级,,组织特征是铁素体和球化体,,若是75Cr1冷轧钢带,,球化率抵达了95%或者以上,,那就已经能够知足大部分的高塑性性能的要求了。。。。

级别 球化率 组织特征
1 <5% 铁素体+珠光体
2 5%~3% 铁素体+珠光体及少量球化体
3 >30%~60% 铁素体+球化体及珠光体
4 >60%~75% 铁素体+球化体及少量珠光体
5 >75%~95% 铁素体+点状球化体及少量珠光体
6 >95% 铁素体+球化体

GB-T 38770-2020低碳碳素结构钢、低碳合金结构钢球化组织分级
【网站地图】【sitemap】